全身皮肤巩膜被染成“小金人”,胆道被恶性肿瘤严重堵塞。面对总胆红素超标20多倍、生命垂危的老人,北京大学人民医院青岛医院多学科团队展开了一场与时间的赛跑。
北京大学人民医院肝胆外科朱卫华主任主刀,肝病科饶慧瑛主任团队、影像学王屹主任精准研判,在青岛医院消化内科、普外科通力协作下,成功为患者解除病痛。
这不仅是一次高难度手术的成功,更是国家区域医疗中心建设成效的生动体现。“国家队”医疗资源下沉,让岛城市民在家门口就能享受到国内顶尖诊疗服务。
黄疸背后暗藏“隐形杀手”
今年10月初,67岁的张先生(化名)来到北京大学人民医院青岛医院消化内科就诊,全身皮肤和眼白泛黄。消化内科执行主任彭利军接诊后,发现患者不仅全身黄染,还伴有尿色加深、食欲减退等症状。
“这是典型的梗阻性黄疸表现,必须查明原因。”专家敏锐地意识到,这很可能不是普通的肝病,而是恶性疾病引起的胆道梗阻。
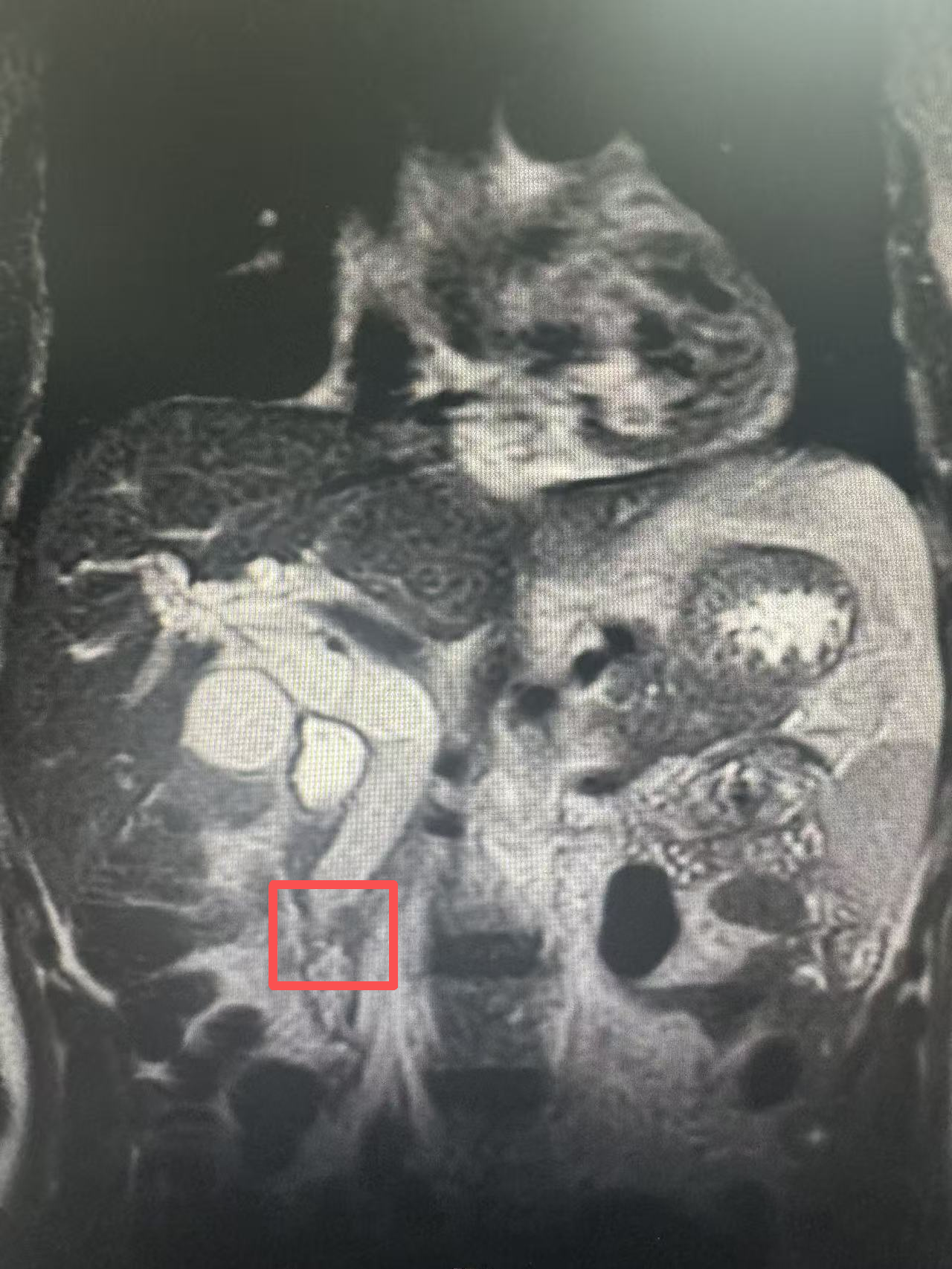
生化检验及影像学检查(增强CT及磁共振)结果证实了专家的担忧:患者总胆红素高达426.8umol/L,超过正常值20倍以上,肝脏功能已严重受损。同时,患者肝内外胆管严重扩张,胆总管下段梗阻,高度怀疑壶腹部占位性病变。

△标红处为肿瘤占位
多学科协作破译肿瘤密码
壶腹部早期肿瘤诊断历来是难点。壶腹部解剖位置深,早期病变影像学表现不典型,就像在漫长车流里找一个小故障点,需要火眼金睛精准诊断。
在关键时刻,北大人民青岛医院启动了多学科会诊机制。北京大学人民医院肝病科饶慧瑛专家团队深入排查了可能病因,为明确诊断方向提供了重要指导。影像科专家王屹教授仔细研判影像资料,精准分析了肿瘤与周围组织的解剖关系,为手术方案的制定提供了关键依据。
消化内科团队迎难而上,为患者实施内镜下逆行胰胆管造影(ERCP),成功放置鼻胆引流管,将淤积的胆汁引出体外。更关键的是,通过ERCP取活检,病理诊断最终确诊为(十二指肠乳头)中-低分化腺癌。这一精准诊断为此后的根治手术奠定了坚实基础。
挑战“外科手术皇冠上的明珠”
确诊后,治疗的核心转向了根治性手术:胰十二指肠切除术。

△北京大学人民医院肝胆外科朱卫华主任每周常态化在青岛医院开展工作
“这是普外科领域最复杂、创伤最大的手术之一,手术需要切除胰头、十二指肠、胆总管、胆囊和部分胃等多个重要器官,然后进行胰肠、胆肠和胃肠的精密吻合重建。”普外科专家解释,手术区域解剖结构复杂,涉及重要血管,切除范围广,术后并发症发生风险高,因此被誉为外科手术皇冠上的明珠。
面对患者高龄且合并冠心病的特殊情况,手术风险成倍增加。但普外科团队经过充分术前讨论,认为根治性手术是让患者获得长期生存的唯一机会。
北京大学人民医院肝胆外科专家朱卫华主任凭借丰富的经验和精湛的技术,仅用3小时就成功完成了根治性胰十二指肠切除术+腹主动脉旁淋巴结切除术,在完整切除肿瘤的基础上,重建消化道的通路。目前患者恢复良好,即将康复出院。


