近日,青岛市第八人民医院脑科中心贺西亮主任团队连续独立完成多例高难度神经介入手术——脑动脉瘤血流导向装置置入术,以微创方式成功治愈多位复杂动脉瘤患者。
血流导向装置置入技术是治疗颅内动脉瘤的前沿微创介入技术,核心是靠植入密网支架重塑血流来治愈动脉瘤。它通过股动脉穿刺将高金属覆盖率的密网支架送入载瘤动脉并覆盖瘤颈,既能大幅减少流入瘤腔的血流、促使瘤内形成血栓,其支架结构还能像“脚手架”一样促进血管内皮细胞生长,最终封闭动脉瘤开口使其完全闭塞。
相较于传统方法,该技术尤其适合处理大型、宽颈、梭形等复杂的动脉瘤,避免了常规填塞的困难,具有创伤小、恢复快、复发率低的显著特点。
贺西亮主任团队近期完成的三例手术,充分展现了该技术的良好效果与团队的精湛技术:
病例1
眼动脉动脉瘤合并后交通段动脉瘤,置入血流导向后,动脉瘤内即可形成造影剂滞留,手术过程30分钟,患者术后2天出院。

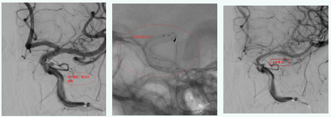
病例2
患者左侧大脑中动脉动脉瘤,使用血流导向装置,支架完美打开及贴壁,术后3天顺利出院。

病例3
后交通动脉瘤伴近端血管狭窄,选择合适尺寸血流导向装置,支架完美打开,即刻动脉瘤内出现造影剂滞留,患者术后2天出院。

此项技术的成功开展,要求手术团队具备解决大型、宽颈、特殊位置等复杂动脉瘤的能力及术前、术后的诊疗能力。贺西亮主任带领团队,联合麻醉科、介入手术室等多部门进行详尽的术前讨论与准备,为每位患者制定个体化手术与护理方案,确保了治疗过程的顺利与患者的快速康复。
对患者而言:意味着无需转诊即可在本地接受针对复杂动脉瘤的“根治性”微创治疗——相比传统手术或栓塞,能以更小创伤(仅股动脉穿刺)、更低复发率(降至5%以下)、更短恢复周期,解决过去难以处理的病情,同时减少二次治疗的风险和负担,为脑血管健康提供更可靠的保障。


