“十人九胃”,这句俗语道尽了胃肠不适在人群中的普遍性。多少人常年徘徊在“胃病赛道”,可每当被建议“做个胃镜”时,总会油然而生难以言说的紧张与未知的忐忑。有没有无需“下镜子”,也能做的胃肠检查?
为满足广大患者对舒适化诊疗的需求,青岛市妇女儿童医院超声医学中心正式引进并开展“胃肠充盈超声造影”检查新技术(以下简称“胃肠超声造影”),无需麻醉、无需插管、全程无痛无创无辐射,为患者提供了检查新选择,标志着医院在胃肠道疾病诊疗领域迈出了坚实的一步。
什么是胃肠超声造影?
简单来说,就是患者在空腹8小时后,喝下一杯香甜顺滑、形似“糊糊”的胃肠超声造影剂,以此充盈胃腔和十二指肠,有效排除胃肠道内的气体,形成优良的“透声窗”。随后,超声医师通过超声设备,可清晰观察到胃壁和肠壁的层次结构、厚度变化、蠕动状态以及周围毗邻脏器的情况,就像给胃肠道做了一次“B超”,轻松便捷。

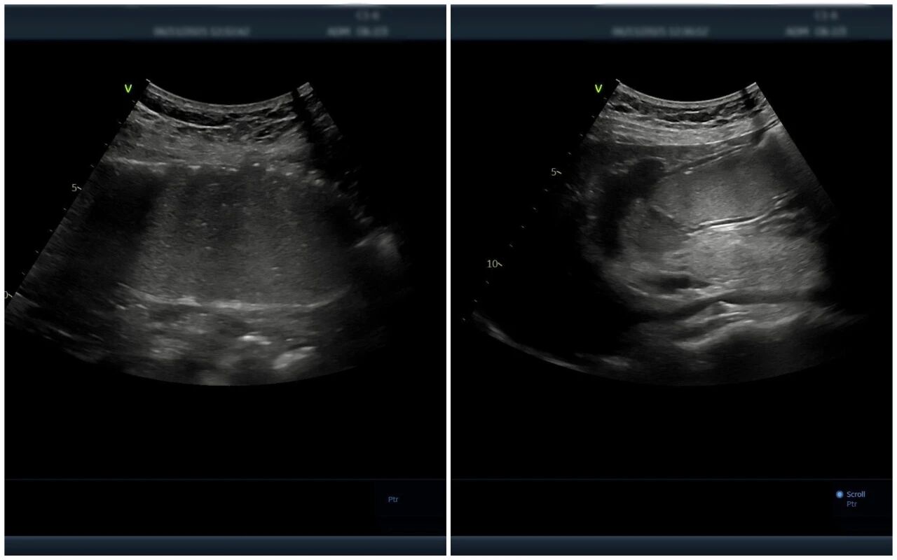
△胃肠超声造影提示:黏膜层毛糙,回声减低,胃壁呈局限性增厚,符合慢性胃炎声像图特征
适宜人群及禁忌症
胃肠超声造影仅需口服造影剂,操作温和舒适,适用人群广泛,尤其适合儿童、老年人、体弱者及存在内镜检查禁忌症的患者,可用于反复随访复查。
需注意,孕妇、消化道出血患者、消化道梗阻患者、急性胃扩张患者,以及临床明确需禁食的患者,均不适宜该检查。
主要用于检查哪些疾病?
胃肠超声造影不仅能清晰显示胃腔内部情况,更能完整观察整个胃壁的各层结构,对于发现胃壁增厚性病变(如胃癌、胃淋巴瘤等)具有独特优势。同时,它能评估胃肠道与周围脏器(如肝、胆、胰、脾)的关系,实现“一站式”筛查;还可实时、动态地观察胃的蠕动、排空功能,为功能性消化不良、胃轻瘫等疾病的诊断提供重要依据。具体适用场景包括:
健康体检
作为胃肠道疾病的初步筛查手段;
有胃肠道症状者
如上腹痛、腹胀、反酸、烧心、嗳气、食欲不振等,且惧怕或无法耐受胃镜检查的患者;
胃部病变的初步诊断与随访
如胃炎、胃溃疡、胃息肉、胃部肿瘤(如胃癌、间质瘤等)的筛查和疗效评估;
胃动力评估
怀疑存在胃排空障碍的患者。
胃肠超声造影能取代胃镜吗?
很多患者会疑问:胃肠超声造影会取代胃镜吗?当然不会。两者是优势互补、相辅相成的“战友”,而非替代关系。
胃肠超声造影擅长观察胃壁的结构和功能,对于判断病变的来源、浸润深度、与周围组织的关系有独到之处;胃镜则能直接观察胃黏膜的微小变化,并可在发现可疑病灶时直接取样进行活检,获取病理学诊断。
当胃肠超声造影发现可疑病灶时,再进行目标性胃镜检查,既能通过无创方式完成初步筛查,又能借助胃镜实现精准诊断,形成“无创筛查 +精准活检”的诊疗闭环,为疾病早发现、早治疗争取了宝贵时间。


